December 18, 2018
HONOLULU – A University of Hawaiʻi Cancer Center study revealed Japanese Americans have a greater predisposition to accumulate fat inside the abdomen (visceral fat) and liver (liver fat), compared to other races/ethnicities.
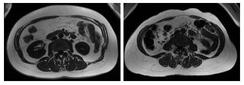
weight and waist circumference can show largely different amounts
of visceral fat vs. fat under the skin in the abdomen
“This new discovery is important because excess visceral fat and liver fat found in Japanese Americans pose a much greater risk of metabolic disorders than fat stored in other body areas. These metabolic disorders if left untreated may lead to heart disease, diabetes and more than a dozen types of common cancers,” said Unhee Lim, PhD, UH Cancer Center epidemiologist and the study’s lead author.
Researchers for the study published in Gastroenterology collected data from almost 2,000 participants in the Multiethnic Cohort Study (Hawaiʻi and Los Angeles residents, 60–77 years old; of African, European (white), Japanese, Latino, or Native Hawaiian ancestry) from 2013 to 2016. The study is the most ethnically diverse study conducted to date measuring body fat distribution accurately with whole-body composition imaging and abdominal MRI.
Distribution of fat as visceral, and liver fat varied significantly with ethnicity—they were highest in Japanese Americans, lowest in African Americans, and intermediate in the other ethnic groups. For the same amount of total body fat and compared with African Americans, visceral fat area was 45 and 73 percent greater in Japanese American men and women, respectively, and liver fat was 61 and 122 percent greater in Japanese American men and women.
“Our goal is to develop blood markers of visceral and liver fat in order to identify high-risk individuals for prevention of metabolic diseases. We are also testing dietary and lifestyle changes that would specifically reduce visceral fat and liver fat. Physicians in Hawaiʻi and elsewhere should be aware that race/ethnicity is an important risk factor for metabolic diseases and obesity-related cancers,” said Loïc Le Marchand, UH Cancer Center epidemiologist and study’s principal investigator.

